費用について
| 相談料 | 無料 |
|---|---|
| 診査診断料 | 30,000円(税抜) |
| 表面矯正基本施術料 | 800,000円(税抜) |
| 裏側矯正基本施術料 | 1,400,000円(税抜) |
| 部分矯正基本施術料 | 80,000円(税抜)~ |
| 保定装置 | 60,000円(税抜) |
| 調整料 | 5,000円(税抜)、 裏側矯正は10,000円(税抜) |
成人矯正
ADULT ORTHODONTICS
ADULT ORTHODONTICS

嚙み合わせが悪いと、歯がよく磨けず、むし歯や歯周病になりやすかったり、よく噛めないため胃腸に負担がかかったりします。そのような方は、矯正治療が必要となります。歯並びを整えると、こうした問題が解決するとともに、正しい発音が出来るようになる、顔つきが変わる、ご自身の歯が健康に保たれるなど、いろいろな良い効果がもたらされます。






当院では、治療中の見た目にも配慮したワイヤー矯正をご用意しております。
従来の金属ブラケットに加え、目立ちにくいクリアブラケットやセラミックブラケット、
さらに自然な印象のホワイトワイヤーも導入しております。
できるだけ負担を感じずに治療を続けていただけるよう、患者様のご希望に合わせて装置をお選びいただけます。
また、当院の矯正治療は見た目の改善だけでなく、正しい嚙み合わせの実現や顎への負担軽減など機能性の向上も重視しております。
美しさと健康の両方を大切にし、将来を見据えた矯正治療を行っています。
表面矯正(ラビアル)
歯の表側にブラケットを装着し、そこにワイヤーを通して歯並びを整えていく一般的な方法です。
どのような歯並びでも対応できるのが特徴です。食事の際にいちいち装置を取り外すのは煩わしいとお考えの方にもおすすめです。
裏側矯正(リンガル)
上下片方の歯、もしくは両方の歯の裏側に装置を装着する矯正治療です。
裏側に装置を装着することで装置が目立たず、周りの方に気づかれにくいのが特徴です。
部分矯正(MTM)
前歯だけキレイにしたい、1本だけねじれている歯をキレイにしたい、など部分的にキレイにしたい方におすすめの矯正です。全体をキレイにする矯正治療に比べて、短期間で価格も安く矯正治療を行うことができます。
| 相談料 | 無料 |
|---|---|
| 診査診断料 | 30,000円(税抜) |
| 表面矯正基本施術料 | 800,000円(税抜) |
| 裏側矯正基本施術料 | 1,400,000円(税抜) |
| 部分矯正基本施術料 | 80,000円(税抜)~ |
| 保定装置 | 60,000円(税抜) |
| 調整料 | 5,000円(税抜)、 裏側矯正は10,000円(税抜) |
1
初診相談/約30分

歯並びに関する悩みや疑問点などを伺います。お気軽にご相談ください。
2
精密検査/約60分

精密検査(レントゲン撮影、口腔内診査、写真、歯型模型など)を行い、治療計画を立案する準備をします。
3
診断、カウンセリング(治療計画の決定)/約30分

検査結果を基に、患者様に最適と思われる治療方針をお伝えします。患者様自身に、治療に関するご希望がある場合は、それをお聞きし、お互いに納得した上で治療方針を決定いたします。
4
装置の装着/約30分〜1時間

治療方針に沿った装置を装着します。
5
装置の調整/約30分

矯正装置を装着した後は、1〜2ヶ月ごとの通院になります。また治療中は歯磨きしにくい部位が出来るため、定期的にクリーニングを行うことで、衛生面をサポートしていきます。
6
矯正装置の除去/約1時間

きれいな歯並びになりましたら、装置を外し、歯の表面をきれいにしていきます。
| 北海道大学歯学部 卒業 |
| 日本矯正歯科学会 認定医 |

小松恵
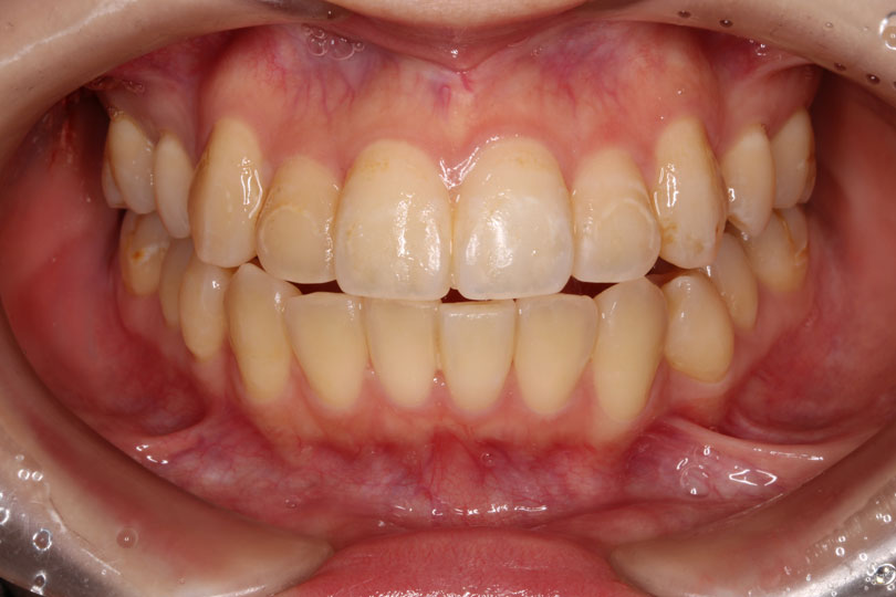
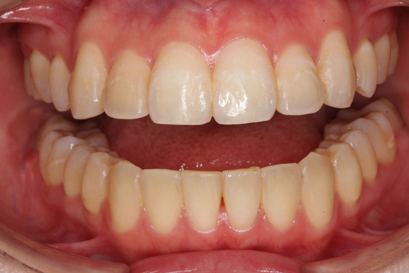
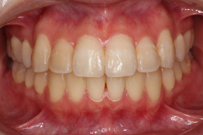
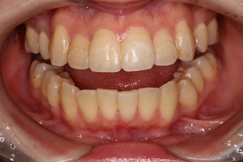
| 主訴 | 開口(オープンバイト) |
|---|---|
| 年齢 | 27歳 女性 |
| 治療期間 | 2年4ヶ月 |
| 費用 | ワイヤー矯正装置料:750,000円(税込:825,000円) 調整料:5,000円x18回 |
SUPERVISOR
| 2006年 | 北海道大学歯学部卒業 |
|---|---|
| 2007年 | 北海道大学病院研修医修了 |
| 2011年 | 東京医科歯科大学 大学院卒業(部分床義歯補綴学講座、口腔病理学講座) |
| 2017年 | 多摩府中うめはら歯科 開業 |
| 2021年 | 医療法人社団TFUD 設立 |
| 2023年 | 多摩府中うめはら歯科南口院 開業 |

医療法人社団TFUD
理事長 梅原康佑
