費用
| 1本 | 15,000円(税抜) |
|---|
ホワイトスポット治療
WHITE SPOT TREATMENT
WHITE SPOT TREATMENT
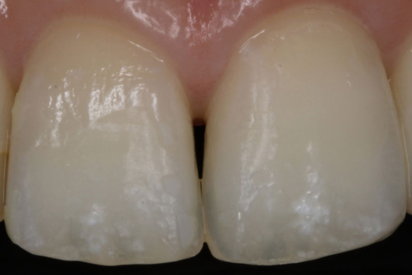
その白い斑点は「ホワイトスポット」と呼ばれる歯の表面の変化かもしれません。
見た目の問題だけでなく、歯の表面のミネラルが失われているサインでもあります。

歯の表面にできる白い斑点(白濁)のことです。
「虫歯ではないけど白く濁って見える」「前歯の白い部分が目立って気になる」などのお悩みを持つ方が多くいらっしゃいます。
ホワイトスポットは、歯の表面のミネラルが部分的に失われた状態(脱灰)であり、主に以下のような原因で起こります。

ホワイトスポット(歯の白い斑点や白いシミ)に iCon(アイコン)という薬剤を塗布することで、歯を削らずにホワイトスポットを改善することが可能です。
従来までのホワイトスポットの治療法は、白い部分(白斑、白濁)を削ってプラスチックで詰めるか、ベニアと呼ばれる薄い板を歯に貼り付けるか、カルシウムを補う歯磨き粉を使用して、時間を掛けて自然治癒を待つなどの方法しかありませんでした。
アイコンは歯に薬剤を塗布するだけでホワイトスポット(歯の白い斑点や白いシミ)を改善することができます。
従来のように歯を削る必要がなく、痛みもほとんどありません。
| 1本 | 15,000円(税抜) |
|---|
| 治療内容 | ホワイトスポットアイコン治療 |
|---|---|
| 治療回数 | 1回 |
| 費用 | 30,000円 / 2歯分 |
| リスク・副作用 |
|
ホワイトスポットは、見た目の問題だけでなく、
歯の健康状態を示すサインでもあります。
「白い部分が気になるけど、治療までは…」という方も、
一度ご相談ください。
当院では、状況に応じた適切な治療方法をご提案致します。
SUPERVISOR
| 2006年 | 北海道大学歯学部卒業 |
|---|---|
| 2007年 | 北海道大学病院研修医修了 |
| 2011年 | 東京医科歯科大学 大学院卒業(部分床義歯補綴学講座、口腔病理学講座) |
| 2017年 | 多摩府中うめはら歯科 開業 |
| 2021年 | 医療法人社団TFUD 設立 |
| 2023年 | 多摩府中うめはら歯科南口院 開業 |

医療法人社団TFUD
理事長 梅原康佑
